About Journal
Aims & Scope
Board Members
Articles
Article In Press
Recent Articles
Article Search
Archive
For Authors
APCs & Payments
Manuscript Guidelines
Authors Guidelines
Editors Guidelines
Reviewers Guidelines
Publication Ethics
Open Access Policy
Peer Review Process
Contact Us
Submit Manuscript
Previous
Next
Annals of Case Reports
ISSN: 2574-7754
Impact Factor: 4.991
About Journal
Aims & Scope
Board Members
Article In Press
Current Issues
Archive
APC
Volume 1
Issue 2
case report
Pdf
Html
0000-00-00
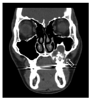
Maxillary Ameloblastoma: A Pictorial Case Report
Chu YK
Annals of Case Reports
case report
Pdf
Html
0000-00-00
Drop Foot Developed Secondary to Peroneal Nerve Located Intraneural Ganglion Caused by Proximal Tibiofibular Joint: Case Report
Sevimli R et al.
Annals of Case Reports
Update cookies preferences