Annals of Case Reports
ISSN: 2574-7754
Impact Factor: 4.991
case report
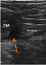
Case Report: Platelet Rich Plasma Injection Used as Treatment of High-Grade Partial Pectoralis Muscle Tear in Division I Football Player
Guy W. Nicolette, MD, CAQSM*; Kristin Farrell, MS ATC
Annals of Case Reportscase report
A Double Trichobezoar with a Gastric and Jejunal Locations: A Case Report
Fehmi Hamila, Fethi Derbel*, Jaballah Sakhri, Rached Letaief, Nefis
Annals of Case Reportscase report
Acute Brugada ECG Pattern Induced by Mild Amitriptyline Overdose
Casey Adams*, Aref Bin Abdulhak, Milena A. Gebska, Michael C. Giudici
Annals of Case Reports