Annals of Case Reports
ISSN: 2574-7754
Impact Factor: 4.991
case report
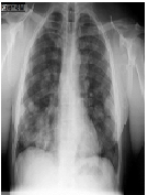
Disseminated Cutaneous Malignancy - A Very Rare Presentation
Surabhi Gupta*, Neha Sharma, Harendra Kumar
Annals of Case Reportscase report
Case Report: Incidental finding of Retained Dilapan® found in a Woman Presenting with Perimenopausal Bleeding
Caroline Yap*, Alice Beardmore-Gray, Sally Watkinson
Annals of Case Reports