Annals of Case Reports
ISSN: 2574-7754
Impact Factor: 4.991
case report
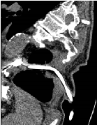
Controlled Esophagocutaneous Fistula with a T-Tube Drainage, as a Method of Control of Late Diagnosed Perforation of Acute Oesophageal Ulcer
Daniel Valchev*, Evelin Obretenov, Mitko Mitev, Danail Petrov
Annals of Case Reportsimage article
Clinical Case of Rare Acute and Chronic Cardio-Pulmonary Involvement in Neurofibromatosis Type-1 (Von Recklinghausen’s Disease)
Nicola Vitulano*, Giuseppe Galgano, Enrico Maria Pellegrini, Vito Casamassima, Pietro Schino, Massimo Grimaldi, Tommaso Langialonga
Annals of Case Reportscase report
case report
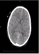
Cerebral Edema Treated Successfully after Liver Transplant in a Patient with Acute Iron Toxicity
Fariha Hussain, Tuba Rashid Khan, Pallav Bhattarai*, Lakshmi Raman
Annals of Case Reportscase report
Sebaceous Umbilical Cyst: Infrequent Localization- A Case Report
Nayib Zurita, Caterin Arevalo Zamora*, Bernardo Borraez
Annals of Case Reportscase report
Solitary Pilar Leiomyoma of the Finger: A Case Report
Jacob Stanfield, Mark Barron, J.D. Hart1, Xu Zhang*, Vikas Dhawan
Annals of Case Reports