case report
Hepatic Encephalopathy in Patient with Lupus
Asmaa S. Mahdi*, Nasra K. Al Adhoubi
Annals of Case Reportscase report
A Sinusoidal FHR Pattern observed in a Case of Congenital Leukemia Diagnosed after Emergent Cesarean Delivery
Yuka Tanaka, Yoshio Matsuda*, Takako Kurosawa, Saori Tamada, Toshihiro Fujiwara, Yoko Oshiba, Osamu Tsutsumi
Annals of Case Reportscase report
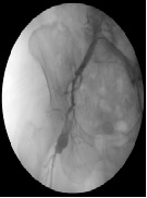
Pancreatic Duct Drainage Using EUS-Guided Rendezvous Technique for Dilated Pancreatic Duct due to the Stenosis of Anastomotic after Pancreaticogastrostomy: A Case Report
Ai Jia, Goro Shibukawa, Ai Sato, Akane Yamabe, Takumi Maki, Yoshitsugu Yoshida, Shogo Yamamoto, Ryo Igarashi, Yuki Nakajima, Atsushi Irisawa*
Annals of Case Reportscase report
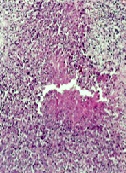
A Combination of Hodgkin's Lymphoma and Tuberculosis occurred with Bilateral Malignant Pleural Effusions
Daniel Valchev*, Mitko Mitev, Evelin Obretenov, Dimitar Kostadinov, Danail Petrov
Annals of Case Reportscase report
Concurrent Operation Revealing Concurrent Spontaneous Pneumothoraces in Monozygotic Twins within 24 Hours
Motohisa Kuwahara*, Satoshi Yamamoto, Shinichiro Hayashi, Futoshi Kawaura, Ayako Matsuo, Akinori Iwasaki
Annals of Case Reportsresearch article
Circulating Tumor Stem Cells and Circulating Tumor Cells are Prognostic Biomarkers for Patients with Metastatic Colorectal Cancer
M. Enomoto*, K. Katsumata, T. Wada, H. Kuwabara, M. Shigoka, T. Ishizaki, M. Hisada, Y. Nagakawa, A. Tsuchida
Annals of Case Reportscase report
Visual Impairment Caused by an Intra-Orbital Dermoid Cyst in 9-Month-Old Infant
Kohei Ichikawa*, Tomoka Kambe, Jun Kurihara, Yoshimune Hiratsuka, Akira Murakami
Annals of Case Reportscase report
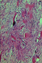
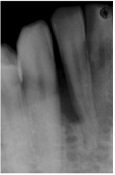
A Rare Case of Granular Cell Type Peripheral Ameloblastoma with a Papilloma - like Appearance
Tomoko Fujii, Yuichi Ohnishi*, Masahiro Watanabe, Hiroyuki Hamada, Masahiro Nakajima
Annals of Case Reportscase report
Treatment of Recalcitrant Medial Clavicle Non-union with Novel Dual Plating Technique
Sevag Bastian*, John Itamura
Annals of Case Reportsresearch article
Intracorporeal Functional End to End Anastomosis Versus Overlap Anastomosis in Laparoscopic Right Hemicolectomy for Cancer: A Single-Center Study
Tetsuo Ishizaki*, Kenji Katsumata, Masayuki Hisada, Masanobu Enomoto, Masatoshi Shigoka, Hiroshi Kuwabara, Yuichi Nagakawa, Akihiko Tsuchida
Annals of Case Reportscase report
A Rare Case of Simultaneous Ectopic Pregnancy and Appendicitis as “Shouldn’t Miss” Diagnoses
Suk Hee Lee, Kyung Woo Lee*, Tae Chang Jang, Gyun Moo Kim, Young Woo Seo, Seung Hyun Ko
Annals of Case Reportscase report
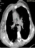
Endovascular Solution of a Post-Operative Iliofemoral Pseudo-Aneurysm: Case Report
E. Scudieri*, R. Adornetto, E. Orlandelli, A. Disabato, V. Dorrucci
Annals of Case Reportscase report
Tuberculosis in Children: Diagnosis of A Case Involving Isolated Lymphadenitis
Hady Tall*, Amadou Sow, Dibor Niang, Modou Mbacke, Samba Niang, Ibrahima Diagne
Annals of Case Reportscase report
Desmoid Tumor in a Pregnant Woman: Case Report
Mojgan Karimi Zarchi*, Motahhareh Karimoddini, Mahboobeh Dashti, Mahmood Akhavan Tafti, Fahimeh Nokhostin
Annals of Case Reportscase report
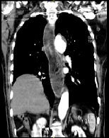
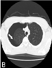
An Unusual Cause of Clubbing: The Esophageal Carcinoma
Yasser Aljehani*, Fatimah Alsaad, Zeead Alghamdi
Annals of Case Reports