case report
Dynamic Ultra-Deep Sequencing of Mutant Epidermal Growth Factor Receptor in a Non-Small Cell Lung Cancer Patient
Alberto Servetto, Roberta Marciano, Umberto Malapelle, Concetta Di Mauro, Fabiana Napolitano, Giuseppe Ciancia, Cataldo Bianco, Giancarlo Troncone, Roberto Bianco*
Annals of Case Reportscase report
Intrahepatic Bile Duct Cyst Calculus and Gallbladder Stones Treated with Surgery: A Case Report
Koichi Kimura*, Yasuhiro Doi, Yasushi Takii, Ryosuke Tsutsumi, Kensuke Kudou, Norifumi Tsutsumi, Tetsuo Ikeda, Soichiro Maekawa
Annals of Case Reportscase report
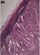
Cutaneous Eruption on Parts Covered by the Swimsuit
C. Durán Vian*, C. Gómez Fernández, I. Navarro Fernández, L. Reguero del Cura, M. Drake Monfort, M.I. Zafra Cobo, E.M. Antón Casas, M.C. González Vela, M.A González López
Annals of Case Reportscase report
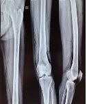
Early Subcutaneous Emphysema Following Arthroscopy: A Case Report
M.G. Di Salvatore, R. Pezzella*, V. Calvisi
Annals of Case Reportscase report
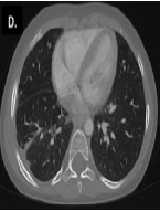
Gastric Pacing for Severe Gastroparesis during Pregnancy
Thomas Vogel, Alissa Jell, Hubertus Feußner, Bettina Kuschel*
Annals of Case Reportscase report
One-lung Ventilation in a Child with Hyper-IgE Syndrome
Arianna De Matteis*, Paolo Palma, Francesca Stoppa, Raffaele Badolato, Alessia Scarselli, Patrizia D’Argenio, Corrado Cecchetti, Renato Cutrera, Alessandro Inserra6, Nicola Pirozzi, Caterina Cancrini
Annals of Case Reportscase report
Urinary Bladder Xanthoma: A New Case Report in Association with Resected Urothelial Neoplasm
Dorian Dikov, Maria Koleva*, Veselin Belovejdov
Annals of Case Reportscase report
Complete Regression of the Adenomatous Polyps in a Patient affected by Familial Adenomatous Polyposis after Prolonged Administration of Phytoestrogens and Sulindac
Francesco Tonelli*, Sergio Fabbri, Maria Luisa Brandi
Annals of Case Reports