Archives of Pediatrics
ISSN: 2575-825X
Impact Factor: 3.58
case report
Tree Limb Impalement: Lower Extremity Muscle Herniation from Penetrating Trauma
Nolan HR* and Thompson W
Archives of Pediatricscase report
case study
Serum Urate and Some Platelet Studies in Neonatal Sepsis
Ashraf Mohamed Abdel Fadil3*
Archives of Pediatricsresearch article
Gastrointestinal Symptoms, Food Selectivity and Food Refusal in Children with ASD
Margarita Stankova*,Polina Mihova,Health care and Social work Department,New Bulgarian University, Sofia, Bulgaria.
Archives of Pediatricsresearch article
Platelet to Lymphocyte Ratio in Hepatitis B
Altun D*, Karacaer Z, Okur G, UmitSarici S
Archives of Pediatricscase report
case report
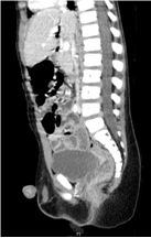
Penetrating Rectal Trauma: Laparoscopic Management without Fecal Diversion
Drahos A*, Nolan HR, Bozeman A
Archives of Pediatrics