Archives of Surgery and Clinical Case Reports
ISSN: 2689-0526
Impact Factor: 3.90
case report
Serial Changes in Fibrinolysis during and Following Resuscitation of Severe Hemorrhagic Shock in Patients Requiring Immediate Operation
Charles E. Lucas*, Anna M. Ledgerwood, Mona Taleb
Archives of Surgery and Clinical Case Reportscase report
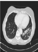
Pulmonary Lymphangitis Carcinomatosis of Clear Cell Renal Cell Carcinoma After Angiogenesis Inhibition
Gursah Kats-Ugurlu1#, Carla van Herpen2, Sasja Mulder2, Mathias Prokop3, Robert M. de Waal4, Peter F. Mulders5, Kiek Verrijp4, J. Han van Krieken4, Egbert Oosterwijk5, William P. Leenders6*
Archives of Surgery and Clinical Case Reportscase report
When Colonoscopy goes Wrong: A Rare Case of Splenic Rupture
Roger Christopher Gill*, Fatima Mannan, Adeel Samad, Amir H. Shariff
Archives of Surgery and Clinical Case Reportscase report
Bilateral Humerus Fractures in a New-Born During a Caesarean Delivery: Case Report and Critical Review of the Literature
Pietro Persiani1*, Marco Bove1, Annamaria Dell’Unto1, Filippo Maria Ranaldi1, Ilaria Stolfi2, Roberto Pedicino3, Ciro Villani1
Archives of Surgery and Clinical Case Reportscase report
Unique Treatment Considerations for Chest Wall Desmoid Tumor Invading the Breast
Miriam Steinberger MD1, Jody M. Kaban MD, FACS1, Miriam David MD2, Maria Castaldi MD, FACS1*
Archives of Surgery and Clinical Case Reports