Cardiology Research and Cardiovascular Medicine
ISSN: 2575-7083
Impact Factor: 3.25
case report
case report
Wet Gangrene and Transmetatrsal Amputation: How and Why?
Nikolakopoulos KM et al.
Cardiology Research and Cardiovascular Medicineresearch article
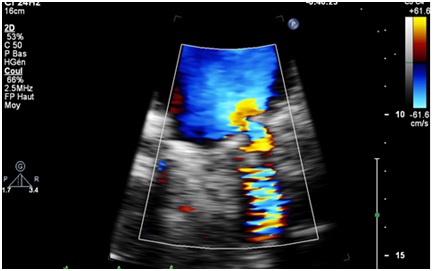
The Contribution of Echocardiography in the Dysfunctions of Mechanical Prosthesis: Report of 11 Cases
Saloua Oummou*, Abir Abardazzou, Salwa Karimi, Dounia Benzeroual, Mustapha Elhattaoui
Cardiology Research and Cardiovascular Medicinecase report
A Report of Right Carotid Artery Pseudoaneurysm with Pulmonary Artery Aneurysm
Quan Chen, Qibing Niu*, Shiqi Wen, Anqiang Li
Cardiology Research and Cardiovascular Medicine