Current Research in Complementary & Alternative Medicine
ISSN: 2577-2201
Impact Factor: 3.02
commentary
commentary
commentary
The Epidemic of Insomnia and the Mystery of Sleep
Katie Gesto*,Eileen Sullivan
Current Research in Complementary & Alternative Medicinecase report
Treatment of Pain Associated with Lyme Disease Neuralgia Using Perineural Injection Therapy: A Case Report
Jeffrey Langland1,2*, Samar Riaz1, Amoz Van Dyke1, Forrest Beck1
Current Research in Complementary & Alternative Medicinecase report
Resolution ofChronically Fissured Feet in a Pediatric Patient Using Homeopathic Petroleum Oleum: A Case Report
Jeffrey Langland*, Elizabeth Rice, Mary Jonas
Current Research in Complementary & Alternative Medicinereview article
The Importance of Traditional Knowledge, Intellectual Property Rights in Benefit Sharing
Palpu Pushpangadan*, Varughese George, Manikantan Ambika Chithra
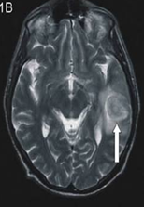
Current Research in Complementary & Alternative Medicinecase report
A Case of Unusual Presentation of Transverse and Sigmoid Sinus Thrombosis in Puerperium
Shruthi Kallesh, Mangala Gowri, Sreelatha Sampath Kumar*, Vedavathy Nayak, Vandana Ambasta, Sumaya, Kavitha, Nandini Swamy
Current Research in Complementary & Alternative Medicine