Current Trends in Internal Medicine
ISSN: 2638-003X
Impact Factor: 3.54
case report
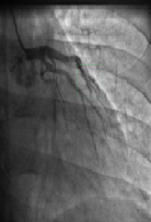
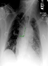
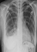
Combination of Unfractionated Heparin (UFH) and Triple Antiplatelet Therapy After Percutaneous Coronary Intervention (PCI) May Increase the Risk of Life Threatening Hemothorax in a Patient with Recent Rib Fracture
Javad Savoj, Asma Jamil, Syed Iftikhar, Rajesh Gulati*
Current Trends in Internal Medicinecase report
case report
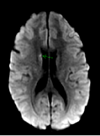
A Case of Synthetic Cannabinoid Induced Ischemic Stroke in A 20 Year Old Female
Darshan Manix, Haidy Youssef, Joseph Ling, Arnon Desai, Rajesh Gulati*
Current Trends in Internal Medicinecase report
Marijuana Induced Coronary Vasospasm
Syed Iftikhar, Asma Jamil, Javad Savoj, Rajesh Gulati*
Current Trends in Internal Medicineresearch article
Universal Immunohistochemistry Screening for Lynch Syndrome: Real World Lessons from an Academic Institutional Experience
Adam P. Buckholz, Charles B. Orton, Jonathan G. Stine, Christopher A. Moskaluk, Steven M. Powell*
Current Trends in Internal Medicine