Current Trends in Internal Medicine
ISSN: 2638-003X
Impact Factor: 3.54
research article
Are All MET Calls Required? Patient Characteristics Who Have MET Calls in General Medical Wards
Algenes Alphius Aranha*, Peter Petrus, Peggy Pei-Chia Chiang, Charles P. Denaro
Current Trends in Internal Medicinecase report
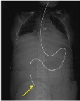
Healing One Acute Pancreatitis Patient with the Duodenal Perforation Caused by a Nutritional Tube Misplacement
Wei-Li Yu, Yun Sun*, Xiang Yang, Zhong-Hua Lu
Current Trends in Internal MedicineResearch Article
Post-Dural Puncture Headache - Having No Pillow Does Not Prevent It, Not Even Psychologically. Should We Try Giving Pills Instead?
Faisal Younis Shah, Qazi Waris Manzoor, Mir Shahid-ul-Islam, Salman Zahoor Bhat, Shah Faisal Ahmad Tarfarosh, Mohammad Faizan Bhat*, Mushbiq Manzoor
Current Trends in Internal Medicineperspective
MRSA Pneumonia: Linezolid versus Vancomycin; A Factual Treatment Choice is Emerging
Lindsey C. Clark, Nicholas A. Kerna*, Orien L. Tulp
Current Trends in Internal Medicinecase report
Management of Progressive Multifocal Leukoencephalopathy - Immune Reconstitution Inflammatory Syndrome (PML-IRIS) In a HIV Positive Male with Steroidal Support and Antiretroviral Therapy with Greater CNS Penetration-Effectiveness Score (CPE): A Case
Rahul R. Abraham, Ashoojit Kaur Anand*, Ramakrishna Prasad, B. C. Rao, Praneeth Pillala
Current Trends in Internal Medicinecase report
Granulomatosis with Polyangiitis (Wegener’s) Masquerading as Non-Resolving Pneumonia
Ganesh Kalyanasundaram*,Poh Yong Tan, Nilesh H Pawar, Aza A Taha
Current Trends in Internal Medicine