About Journal
Aims & Scope
Board Members
Articles
Article In Press
Recent Articles
Article Search
Archive
For Authors
APCs & Payments
Manuscript Guidelines
Authors Guidelines
Editors Guidelines
Reviewers Guidelines
Publication Ethics
Open Access Policy
Peer Review Process
Contact Us
Submit Manuscript
Previous
Next
Emergency Medicine Investigations
ISSN: 2475-5605
Impact Factor: 4.25
About Journal
Aims & Scope
Board Members
Article In Press
Current Issues
Archive
APC
Volume 1
Issue 2
case report
Pdf
Html
0000-00-00
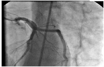
Coronary Aneurysm and Myocardial Infarction in Young Adult Secondary to Undiagnosed Childhood Kawasaki Disease
Didem Ay
Emergency Medicine Investigations
research article
Pdf
Html
0000-00-00
Description of Patients Presented to the Emergency Department with Ischemic and Hemorrhagic Cerebrovascular Accident
Mehmet Unaldi*
Emergency Medicine Investigations
research article
Pdf
Html
0000-00-00
The Comparison of Analgesic Efficiency of Intravenous Tramadol and Paracetamol in Patients with Renal Colic
Eda Ars
Biomarkers and Applications
research article
Pdf
Html
0000-00-00
The Effects of Classic Two-Minute Pressing and Commercial Adhesive Bandages on Ecchymosis Development Following Removal of Intravenous Catheters
Mehmet Akcimen*
Emergency Medicine Investigations
case report
Pdf
Html
0000-00-00
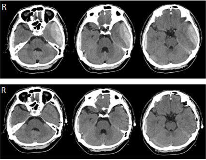
Bilateral Acute Traumatic Epidural Hematoma Due to Coup and Contrecoup Head Injury: a Case Report and Review of the Literature
Koichi Miki
Biomarkers and Applications
Update cookies preferences