Emergency Medicine Investigations
ISSN: 2475-5605
Impact Factor: 4.25
review article
review article
research article
Increased Serum Uric Acid Association with Hypertension
Sumera Nawaz Qabulio*, Saba Shahnawaz, Kanan Mansoor, Aisha Jadoon, Sohail Akhter, Farzeen Tanwir*
Emergency Medicine Investigationsresearch article
Comparison of Three Airway Devices Used by Prehospital Teams During Simulated Difficult Airway: A Mannequin Based Study
GUlufer Sivrikaya*, Sibel Kizilkar, Unal Hulur, Ahu Sezgin, MFatih Gulsen, Emre Sukayar
Emergency Medicine Investigationsreview article
The Four Serious Complications of Vitamin D Deficiency in Infants
Abdelwahab TH Elidrissy*
Emergency Medicine Investigationsresearch article
FXIII Deficiency Occurs Frequently in Major Trauma and Influences Transfusion Requirements While Levels of Von Willebrand Factor are well above Thresholds
Robert Breitkopf, Isabella Westermann, Helmuth Tauber, Markus Mittermayr, Lukas Gasteiger, Martin Dünser, Petra Innerhofer*
Emergency Medicine Investigationsresearch article
Study on Causes of Emergency Department Admission for Patients with Parkinson’s Disease (2009-2017)
Safa Najmi, Samad Shams Vahdati*, Alireza Ala, SheidaShaafi, Roshan Fahimi, Zahra Sohrab Navi
Emergency Medicine Investigationsreview article
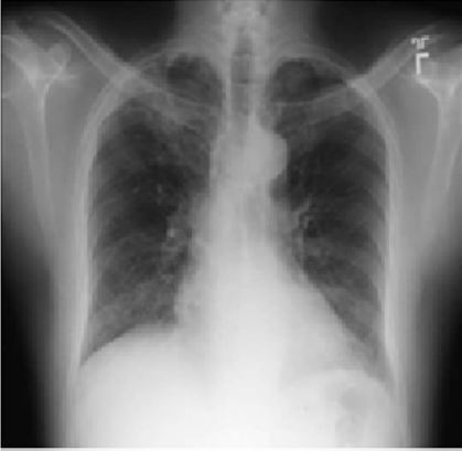
Diffuse Alveolar Hemorrhage Due to Synthetic Cannabinoid Inhalation
Mark H Adelman*, Michael Thorp,Young Im Lee, Robert L Smith
Emergency Medicine Investigationsresearch article
Abdominal Trauma: Occurrence and Outcome, An experience from 500 Patients
Ahmed S Alsheikhly*, Alaa K Fiad, Keebat Khan, Mohammed Mazin, Mazin A Alsheikhly
Emergency Medicine Investigations