About Journal
Aims & Scope
Board Members
Articles
Article In Press
Recent Articles
Article Search
Archive
For Authors
APCs & Payments
Manuscript Guidelines
Authors Guidelines
Editors Guidelines
Reviewers Guidelines
Publication Ethics
Open Access Policy
Peer Review Process
Contact Us
Submit Manuscript
Previous
Next
Journal of Digestive Diseases and Hepatology
ISSN: 2574-3511
Impact Factor: 3.45
About Journal
Aims & Scope
Board Members
Article In Press
Current Issues
Archive
APC
Volume 1
Issue 2
research article
Pdf
Html
0000-00-00
Assessment of the Relation between Helicobacter pylori Infection and Insulin Resistance
Alboraie M, et al
Journal of Digestive Diseases and Hepatology
case report
Pdf
Html
0000-00-00
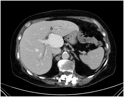
Giant Portal Vein Extra Hepatic Aneurysm: An Uncommon Finding
MartÃn MS et al.
Journal of Digestive Diseases and Hepatology
editorial article
Pdf
Html
0000-00-00
New About Diagnosis and Management of Treatment in Gastro Esophageal Reflux Disease
Shahverdi E et al.
Journal of Digestive Diseases and Hepatology
case report
Pdf
Html
0000-00-00
Case Report of Chronic Pancreatitis in aPatient with Celiac Disease and Extra-Intestinal Manifestations of Celiac Disease: Report of a Case and a Literature Review
Lehibi AA et al.
Journal of Digestive Diseases and Hepatology
research article
Pdf
Html
0000-00-00
Monocyte-Derived Macrophages Exacerbate Acetaminophen- Induced Liver Injury in Mice through Intrahepatic Hypercoagulation
Enjoji M et al.
Journal of Digestive Diseases and Hepatology
Update cookies preferences