About Journal
Aims & Scope
Board Members
Articles
Article In Press
Recent Articles
Article Search
Archive
For Authors
APCs & Payments
Manuscript Guidelines
Authors Guidelines
Editors Guidelines
Reviewers Guidelines
Publication Ethics
Open Access Policy
Peer Review Process
Contact Us
Submit Manuscript
Previous
Next
Journal of Digestive Diseases and Hepatology
ISSN: 2574-3511
Impact Factor: 3.45
About Journal
Aims & Scope
Board Members
Article In Press
Current Issues
Archive
APC
Volume 1
Issue 4
research article
Pdf
Html
0000-00-00
Clinical Significance of Lipid Metabolism in Evaluating the Prognosis of Hyperlipidemic Acute Pancreatitis
Qin Jian-min
Journal of Digestive Diseases and Hepatology
case report
Pdf
Html
0000-00-00
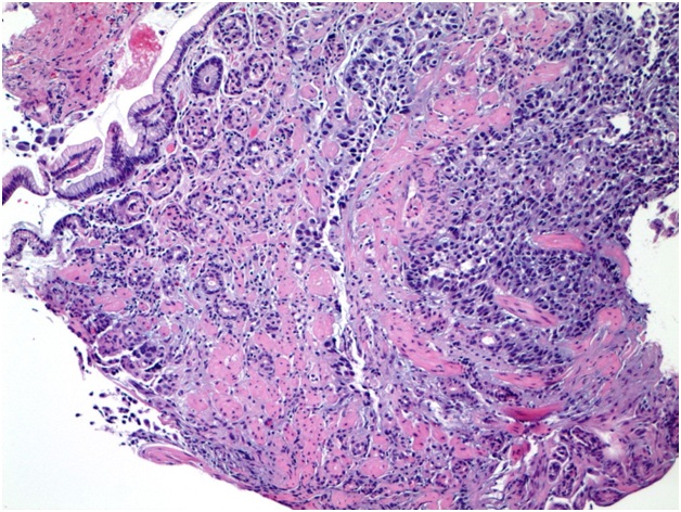
Acinar Cell Carcinoma of the Pancreas with Gastric Metastasis: A Case Report and Literature Review
J. Reynolds, M.D.
Journal of Digestive Diseases and Hepatology
research article
Pdf
Html
0000-00-00
A Single Institutional Experience of Local Therapy in 1136 Patients with Hepatocellular Carcinoma Associated with Cirrhosis
Zhang Ke, M.D.
Journal of Digestive Diseases and Hepatology
research article
Pdf
Html
0000-00-00
Association between Hepatitis C Virus Infection, P53 Phenotypes, and Gene Variants of Adenomatous Polyposis Coli in Hepatocellular Carcinomas
Leona N. Council
Journal of Digestive Diseases and Hepatology
Update cookies preferences