About Journal
Aims & Scope
Board Members
Articles
Article In Press
Recent Articles
Article Search
Archive
For Authors
APCs & Payments
Manuscript Guidelines
Authors Guidelines
Editors Guidelines
Reviewers Guidelines
Publication Ethics
Open Access Policy
Peer Review Process
Contact Us
Submit Manuscript
Previous
Next
Journal of Oncology Research and Therapy
ISSN: 2574-710X
Impact Factor: 4.327
About Journal
Aims & Scope
Board Members
Article In Press
Current Issues
Archive
APC
Volume 2
Issue 1
research article
Pdf
Html
0000-00-00
Synergistic Effect of Pomolic Acid Inducing Apoptosis on Doxorubicin-Resistant Human Gastric Carcinoma Cells
Yuan-Yuan Fu
Journal of Oncology Research and Therapy
research article
Pdf
Html
0000-00-00
Ratios of Calcium/Trace Elements as Prostate Cancer Markers
Vladimir Zaichick
Journal of Oncology Research and Therapy
case report
Pdf
Html
0000-00-00
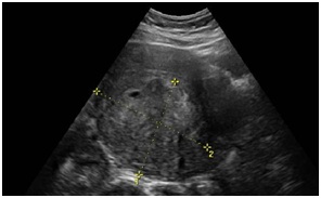
Metastatic Pancreatic Adenocarcinoma Presenting as Primary Ureteral Tumor
Thomas Williams
Journal of Oncology Research and Therapy
case report
Pdf
Html
0000-00-00
High Grade Primary Intratesticular Leiomyosarcoma: A Very Rare Presentation
Abhishek Mukherjee
Journal of Oncology Research and Therapy
research article
Pdf
Html
0000-00-00
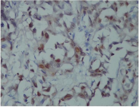
Expression of Telomerase in Breast Cancer and its Correlation with Clinicopathological Parameters
Agni Gautam Shah
Journal of Oncology Research and Therapy
case report
Pdf
Html
0000-00-00
Uterine Myxoid Leiomyosarcoma Associated with Multiple Myomata in a Fertile Woman: A Case Report
Vito Leanza
Journal of Oncology Research and Therapy
Update cookies preferences