Journal of Orthopedic Research and Therapy
ISSN: 2575-8241
Impact Factor: 4.33
case report
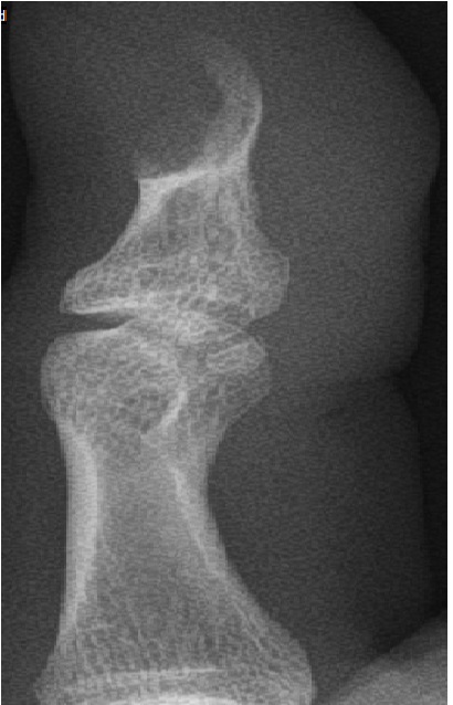
An Innovation in the Management of Osteolytic Lesions in Distal Phalanges of Digits
Salim Al Lahham*, Shiyas Mohammedali, Rehan Zaid, Mutaz Abuelgasim, Ruba Sada, Mahmoud El Sharkawy, Talal Al Hetmi
Journal of Orthopedic Research and Therapy