Journal of Orthopedic Research and Therapy
ISSN: 2575-8241
Impact Factor: 4.33
case report
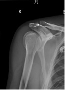
Case Report: Minimally Invasive Open Reduction and Internal Fixation of a Humeral Head-Splitting Fracture-Dislocation in A Young Man
Kyle Andrews1*, Ryan Sefcik2, Jacob Stirton1, Nabil Ebraheim1
Journal of Orthopedic Research and Therapyreview article
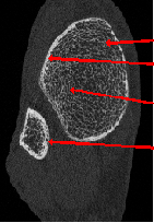
Novel Imaging Modalities in The Diagnosis and Risk Stratification of Osteoporosis
Hayley McKee*, Karen Beattie, Arthur Lau, Andy Wong, Rick Adachi
Journal of Orthopedic Research and Therapyeditorial
Quantification of Cell Generated Forces: A Tool to Assess Functionality
Antonios Giannopoulos2, Ching-Yan Chloé Yeung2, Apostolos Theos1*
Journal of Orthopedic Research and Therapycase report
An Unusual Presentation of Osteochondroma on the Dorsal Surface of the Scapula- A Review of Literature
SupreethNekkanti*, SagarSavsani, Malavika Nair, VikramLoona, Trisha Vadapalli, Sagarika Manjunath
Journal of Orthopedic Research and Therapymini review
Trapeziectomywith Ligament Reconstruction and Tendon Interposition- Differences in Results in Osteoarthritis and Rheumatoid Arthritis
Margaret Fok*, Keung Fung, Kenny Kwan, Amy Cheung, Boris Fung
Journal of Orthopedic Research and Therapy