Journal of Surgery
ISSN: 2575-9760
Impact Factor: 4.99
editorial
review article
brief report
Partial Sternotomy for Secure Esophagogastric Anastomosis in Esophageal Cancer Surgery
Masaki Ohi*, Susumu Saigusa, Takashi Ichikawa, Hiromi Yasuda, Hiroyuki Fjikawa, Yoshiki Okita, Shigeyuki Yoshiyama, Junichiro Hiro, Yuji Toiyama, Toshimitsu Araki, Masato Kusunoki
Journal of Surgeryeditorial
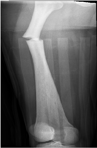
case report
Toulouse-Lautrec Disease: A Case Report of a Femur Shaft Fracture
Etienne Boyer, Gauthier Menu, Thomas Rondot, Fanny Mille, Maxime Ferrier, Antoine Adam, Laurent Obert, Philippe Liverneaux*
Journal of Surgery