About Journal
Aims & Scope
Board Members
Articles
Article In Press
Recent Articles
Article Search
Archive
For Authors
APCs & Payments
Manuscript Guidelines
Authors Guidelines
Editors Guidelines
Reviewers Guidelines
Publication Ethics
Open Access Policy
Peer Review Process
Contact Us
Submit Manuscript
Previous
Next
Journal of Urology and Renal Diseases
ISSN: 2575-7903
Impact Factor: 4.48
About Journal
Aims & Scope
Board Members
Article In Press
Current Issues
Archive
APC
Volume 2
Issue 1
editorial
Pdf
Html
0000-00-00
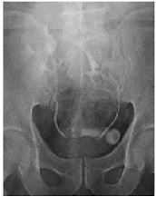
Bilateral Pelvichorse Shoe Kidney With Renal, Bladder Calculus And Obstructive Symptoms
Sarikaya S,
Journal of Urology and Renal Diseases
research article
Pdf
Html
0000-00-00
Management of Iatrogenic Ureteric Injuries in Abdominopelvic and Endourological Surgery: Seventeen Years of Experience
Ozkaya F, et al.
Journal of Urology and Renal Diseases
editorial article
Pdf
Html
0000-00-00
Prediction of The Trifecta And Pentafecta İn Minimal İnvasive Partial Nephrectomy
Bolat D, et al
Journal of Urology and Renal Diseases
case report
Pdf
Html
0000-00-00
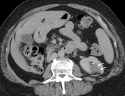
Percutaneous Treatment of a Urinary Leak with Fibrin Glue During A Radiofrequency Ablation of a Renal Tumor
Igor Murad Faria1*
Journal of Urology and Renal Diseases
case report
Pdf
Html
0000-00-00
Successful Management of Intractable Gross Hematuria with Vasopressin in Polycystic Kidney Disease
Shan HY, et al.
Journal of Urology and Renal Diseases
Update cookies preferences