Journal of Urology and Renal Diseases
ISSN: 2575-7903
Impact Factor: 4.48
case report
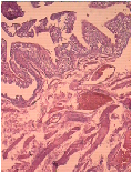
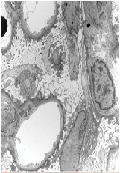
Latex-and-Nephrotic-Syndrome
Ahad Lodhi*, Fahad Lodhi, EffatRasul, Saleem A
Journal of Urology and Renal Diseaseseditorial
Bioengineering Kidneys What Is the Outlook?
Usama Nihad Rifat*
Journal of Urology and Renal Diseasesresearch article
Microanatomical Changes in The Bladder of Ageing Rabbits: Effect of Serotonin and Vagotomy
LychkovaAlla Eduard1*, Fentisov Vitaly Vladimirovich2, Puzikov Alexander Michael1
Journal of Urology and Renal Diseasescase report
Acute Pulmonary Edema after Endovascular Treatment for Renal Artery Stenosis - Clinical Evolution after Angioplasty and Stenting in Moderate Stenosis:A Case Report
Thiago Andrade Macedo1*, Ligia Sayuri Teoi Coelho Borges1, Mateus Paiva Marques Feitosa1, Henrique Cotchi Simbo Muela2, Valeria Aparecida Costa-Hong1, Luiz Junia Kajita3, Luiz Aparecido Bortolotto1
Journal of Urology and Renal Diseasesresearch article
Dextranomer-Hyaluronic Acid Copolymer Injection into Transplant Ureterovesical Junction for Vesicoureteral Reflux
Hari Tunuguntla*, Kushan Radadia, Nicholas Farber, Christopher J Koprowski
Journal of Urology and Renal Diseases