Journal of Urology and Renal Diseases
ISSN: 2575-7903
Impact Factor: 4.48
research article
Fluoroless Ureteroscopic Lithotripsy for the Treatment of Ureteral Stones: The Feasibility and Safety Study in A Large Consecutive Cohort
Xu Dan-feng*, He Hong-chao, Huang Xin, Dai Jun, Xie Xin, Wang Hao-fei, Wang Xiao-jing, Zhu Yu, Xu Dan-feng
Journal of Urology and Renal Diseasescase report
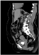
Hydrocele of Canal of Nuck - A Rare Entity
Aditi S Agrawal1*, Imran Shaikh2, Ashok Singhal3
Journal of Urology and Renal Diseasesresearch article
MetabolicSyndrome: A High Risk for Urological Malignancies? A Prospective Study
SJoseph Philipraj*, Karthik Meyappan, Vishal Shet
Journal of Urology and Renal DiseasesPerspective
What We Do and Do Not Know About Women and Kidney Diseases; Questions Unanswered and Answers Unquestioned: Reflection on World Kidney Day and International Woman’s Day
Adeera Levin1*, Giorgina B Piccoli2,3, Mona Alrukhaimi4, Zhi-Hong Liu5, Elena Zakharova6,7,8, On behalf of the World Kidney Day Steering Committee*
Journal of Urology and Renal Diseases