Journal of Urology and Renal Diseases
ISSN: 2575-7903
Impact Factor: 4.48
case report
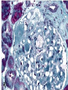
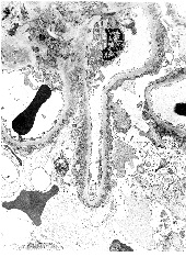
Glomerulopathy Associated with Lecithin-Cholesterol-Acyltransferase Deficiency: A Case Report and Literature Review
Clemence Delteil1,2*, Nicolas Macagno1, Romain Appay1, Marc Uzan3, Noemie Jourde-Chiche4,5, Laurent Daniel1,5
Journal of Urology and Renal Diseasescase report
Laparoscopic Bilateral Nephrectomy Followed by Live-Related Kidney Transplant for the Treatment of Persistent Severe Nephrotic Syndrome and Advanced Chronic Renal Failure: A Case Report and Review of the Literature
Hosameldin Madkour1*, Mohamed El-Shahawy1, Rod Mateo2, Michael Koss3
Journal of Urology and Renal Diseasesresearch article
The Clinical and Laboratory Characteristics of Patients with Urological Cancers and Additional Primary Malignancies: A Single Institution Study
Hung-Pin Chiu1, Wei-Ling Wong1, I-Hsin Lin1, Fang-Yi Cheng1, Po-Wen Ku2*
Journal of Urology and Renal Diseases