Journal of Urology and Renal Diseases
ISSN: 2575-7903
Impact Factor: 4.48
case report
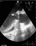
Ralstonia pickettii-Infected Endocarditis Complicated with Possible Septic Emboli in Kidney: A Rare Case Report
Pin-Hao Huang1, Hui-Chieh Kang2, Fu-Chien Hsieh3*
Journal of Urology and Renal Diseasesperspective
Patient Satisfaction Survey Amongst Patients Attending Urology Outpatient Services of Mahatma Gandhi Medical College and Research Institute- A Tertiary Care Hospital in South India
S. Joseph Philipraj1*, Vishal Shet1, N. Sinovassane2, Karthik Meyappan1, Vishnuvardhan3
Journal of Urology and Renal Diseases