Journal of Urology and Renal Diseases
ISSN: 2575-7903
Impact Factor: 4.48
case report
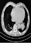
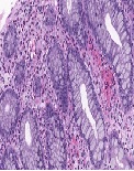
A Case of Eosinophilic Gastroenteritis in a Young Female Peritoneal Dialysis
Hongyong Liu1*,Yuqiu Ye 2*,Yunqiang Zhang 1*, Zhibo Liao1, Xueyuan Liao1, Shaomin Li2,Wentao Hu2,Xun Liu1,2*
Journal of Urology and Renal Diseasescase report
Extended Progression-Free Survival of Renal Cell Carcinoma with Axitinib: Case Report
Rene A. Muñoz¹, María C. Cabezas²,³*, José Antonio Castillo¹ , Camila Miño²,³, Adelin Albert4
Journal of Urology and Renal Diseasesresearch article
Bulbar Regulation of The Uterine Fundus and Its Tube Contractile Function
Lychkova Alla Eduard1*, Galeysya Evgeniy Nikolaevich2, Severin Alexander Eugine3, Ashrafov Rauf Ashrafovich4, Ashrafova Tomila Raufovna4, Puzikov Alexander Mikhail1
Journal of Urology and Renal Diseasesresearch article
Ertapenem in the Treatment of ESBL Prostatitis
Ahmad Mroué1*, Jacques Choucair2
Journal of Urology and Renal Diseases