Journal of Urology and Renal Diseases
ISSN: 2575-7903
Impact Factor: 4.48
case report
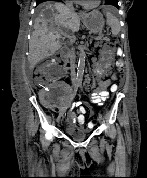
Sarcomatoid Renal Cell Carcinoma in a Renal Allograft
Rajan Kapoor1*, Sandeep Padala1, Carlos Zayas1, Laura Mulloy1, Anusha Vakiti2, Daniel T. Kleven3, Muhammad I. Saeed4, Todd Merchen4
Journal of Urology and Renal Diseasesresearch article
Outcomes of Prenatally Diagnosed Moderate to Severe Hydronephrosis at a Single Institution
Kathryn Trandem1,2, Jeffrey T. White1,2, Amay V. Singh1,2, Sheila L. Ryan1,2, Duong Tu1,2, Chester J. Koh1,2, Nicolette Janzen1,2, Edmond T. Gonzales1,2, David R. Roth1,2, Abhishek Seth1,2*
Journal of Urology and Renal Diseasesreview article
The Role of Protein Electrophoresis in Differential Diagnosis of Renal Disorders
Shu-Jene Lee1, I-Hsin Lin1, Tzung-Hai Yen2, Fang-Yeh Chu1,3,4,5*
Journal of Urology and Renal Diseasesresearch article
Laparoscopic Creation of Neovagina
Sanjay Chaube*, A.K Sanwal, Jyoti Chaube
Journal of Urology and Renal Diseasescase report
The Individualized Antiplatelet Therapy in a Patient with Renal Insufficiency Following Percutaneous Coronary Intervention: A Case Report
Jing-Xiu Li, Yang Li, Xin-Li, Ye-Ping Chen, De-Jun Xia, En-Ze Jin, Xue-Qi Li*
Journal of Urology and Renal Diseases