Obstetrics & Gynecology: Open Access
ISSN: 2577-2236
Impact Factor: 4.02
case report
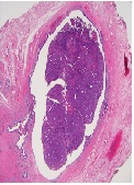
Mammary-Like Gland Adenoma of The Vulva in An Adolescent: A Case Report
Priya V. Patel1*, Darian Kameh2, Aileen Caceres1,3
Obstetrics & Gynecology: Open Accessresearch article
Intravenous Intraoperative Acetaminophen Reduces the Post-Operative Length of Stay in Patients Undergoing Robotic Assisted Surgery for Endometrial Cancer: IV Acetaminophen in Robotic Uterine Cancer Surgery
Radhika P Gogoi1*, John D Nash1, Katelyn M Welshans2, Haiyan Sun3, Ashlee L Smith1
Obstetrics & Gynecology: Open Accessresearch article
Role of Hysteroscopy and Endometrial Curettage in Postmenopausal Women with and Without Postmenopausal Bleeding
Pratibha Devabhaktuni*, Suneeta K, Kavya Kancherla
Obstetrics & Gynecology: Open Accessreview article
New Findings on Anti-Mullerian Hormone in Polycystic Ovarian Syndrome Patients
MozhganKohzadi, FarzanehChoobsaz, MozafarKhazaei*
Obstetrics & Gynecology: Open Access