Sports Injuries & Medicine
ISSN: 2576-9596
Impact Factor: 3.02
research article
Short-and Long-Term Effects of Sclerotherapy on Chronic Tendinosis with Neovascularizationamong Sportsmen and Athletes
Zufferey Pascal*,Bubloz Marie, Gremion Gerald,Gremeaux-Bader Vincent
Sports Injuries & Medicineresearch article
Construction of A Case Management Practice Model for Subjective Experience and Needs of Perioperative Patients with Lung Cancer
Zhang Yanping, Liu Xiuzhu, Luo HuiYu*, Ke Wei, Zhang Hong, Zhao Chen
Sports Injuries & Medicinereview article
Positive Effects of Training for Expectant Mothers- Physical Activity for The Prevention of Pregnancy Related Diseases
Eberhard von Rottkay*, Ruth Broermann, Ulrich Nöth, Johannes C. Reichert
Sports Injuries & Medicineresearch article
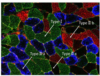
Long-Term Effects of ACL Transection on the Gastrocnemius Muscle in Rats
Takashi Kotani, Katsumasa Goto, Mahiro Ohno, Yuji Ogura, Mitsutoshi Kurosaka, Kanaka Yatabe, Takanori Kumai, Hisateru Niki, Hiroto Fujiya*
Sports Injuries & Medicineresearch article
The Effect of Mortality of Diabetes Tuberculosis Patients Using Meta-Analysis
Yung-Mie Yu*, Willie Sai Ho Chan
Sports Injuries & Medicine