Current Trends in Ophthalmology and Visual Sciences
Time-Kill Comparison of Povidone Iodine to Hypochlorous Acid against Endophthalmitis Isolates of Staphylococci
Matthew S. Klocek, Deepinder K. Dhaliwal, Alex Mammen, Regis P. Kowalski*
Current Trends in Ophthalmology and Visual Sciences
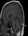
Acute Cerebral Venous Thrombosis with Papilledema and Complete Vision Loss
Dante Sorrentino, Anagha Medsinge*, Luis Gonzalez-Gonzalez, Gabrielle Bonhomme
Current Trends in Ophthalmology and Visual Sciences
Ocular Findings and Implications of Genetic Testing for Papillorenal Syndrome
Magen Hartnett1, Evan J. Kaufman2*
Current Trends in Ophthalmology and Visual Sciences
MicroPulse Diode Transscleral Cyclophotocoagulation Lowers Intraocular Pressure in Advanced Glaucoma
Dana Siegel1*, Marc J. Siegel2, Michael J. Siegel2
Current Trends in Ophthalmology and Visual Sciences