Bone Mineral Density and Endocrinopathies in Adults with Transfusion-Dependent Beta-Thalassemia Major Patients from Oman
Khan H#, Panjwani V, Al Rahbi S, Eltigani A, Qureshi RN, Unissa K, Rehan M, Sehar N, Mustafa HA, Shujat M, Pathare AV
Hematological Diseases and Therapies
Biosimilar Filgrastim (Nivestim®) in the Treatment and Prevention of Chemotherapy-Induced Neutropenia: Results of the NEXT Observational Study
Frederic Maloisel, Stephane Lepretre, Didier Kamioner, Christian Berthou, Laurent Cals
Hematological Diseases and Therapies
A Rare Case of Diffuse Large B-Cell lymphoma with leukemic Presentation
Ioanna E. Stergiou, Aikaterini Poulaki
Hematological Diseases and Therapies
Motivating and Demotivating Factors for Blood Donation of Young People in Bulgaria
Krasimira Terzieva*, Rumen Popov
Hematological Diseases and Therapies
Immunohematological Surveillance of Rhesus D Negative Pregnancies in Under Equipped Area. About 34 Cases at Jason Sendwe General Hospital (Lubumbashi, Democratic Republic of Congo)
Monga Kalenga J*, Matanda Kapend S, Minon J-M, Masendu Kalenga P, Haumont D, Luboya Numbi O
Hematological Diseases and Therapies
Role of miR_155a and miR_181a in Chronic Lymphocytic Leukemia
Nashwa EL-Khazragy*, Mohamed Hosny, Mostafa M Elhady, Ahmed El-Agmawy, Nahla S Hassan
Hematological Diseases and Therapies
Toxicities and Long Term Survival After Autologous Hematopoietic Stem Cell Transplantation for Older Patients with Relapsed/Refractory Hodgkin Lymphoma
Gunjan L Shah*, Connie Lee, Hillary Glick, Satyajit Kosuri, Sean M Devlin, Joachim Yahalom, Parastoo Dahi, Paul Hamlin, Alison Moskowitz, David J Straus, Sergio A Giralt, Craig S Sauter, Craig H Moskowitz, Matthew J Matasar
Hematological Diseases and Therapies
Which Factor Is Responsible forThe Prognosis in Myelodysplastic Syndrome Patients with an Isolated Del(5q) or A Cytogenetic Abnormality in Addition to Del(5q): Blast Counts or Cytogenetics?
Hava ÜSKÜDAR TEKE*, Neslihan ANDIÇ, Tuba KİRAZ BULDUK, Eren GÜNDÜZ, Muzaffer BİLGİN, Olga Meltem AKAY, Beyhan DURAK ARAS
Hematological Diseases and Therapies
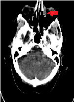
Orbital Compression Syndrome: A Rare Complication of Sickle Cell Disease in Children
Prateek Kumar Panda*, Pramod Kumar Panda
Hematological Diseases and Therapies
Investigating the Presence of Chronic Myeloid Leukemia Leukemic Stem Cells (CML LSCs) in Patients with Tyrosine Kinase Inhibitors Who Achieved Cytogenetic / Molecular Response
Zehra Narli Ozdemir1,2*, Atilla Uslu1,2, Selami Kocak Toprak1, Pervin Topcuoglu1, Klara Dalva1, Osman Ilhan1,2
Hematological Diseases and Therapies
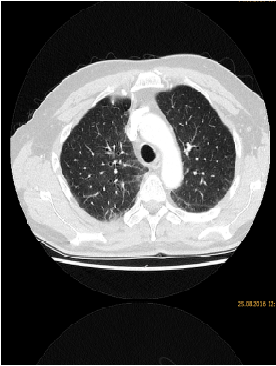
Synchronous Pneumonitis, Hepatitis and Enteritis Under Treatment with PI3kδ Inhibitor Idelalisib for Follicular Lymphoma
Maria Vergoulidou*, Diana Japaridze, Norbert Grobe
Hematological Diseases and Therapies
The Two Types of Detached Nuclear Fragments Behind the Howell-Jolly Eponyme
Margarida Dantas Brito1*, Kristin Singsdal2, Harald Holte1
Hematological Diseases and Therapies
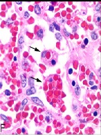
Hemophagocytic Lymphohistiocytosis: Overlooked in Critically Ill Adults?
Amy Jones, Kara Wegermann, Louis Diehl, Jadee Neff, David Rizzieri*
Hematological Diseases and Therapies
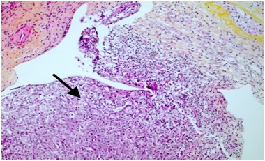
Unusual Presantatıon of Extranodal Non-Hodgkın Lymphoma: Isolated Nasolacrımal Mantle Cell Lymphoma
Ufuk Demirci1, Mine Miskioğlu2*, Aliihsan Gemici3, Nalan Neşe4, İsmet Aydoğdu2
Hematological Diseases and Therapies