Exploring the Nexus Between MBTI Personality Types and the Innovation Capability of Operating Room Nurses: A Cross-Sectional Study
Wanfeng Li, Xiaoting Luo, Keyue Shi, Jianmei Liu, Dianye Yao
Journal of Medical and Biomedical Discoveries
Evaluation of the Effect of Plasma Occlusion of Punctum (POP) on Dry Eye Disease Treatment: A 6-month Randomized Clinical Trial
Shima Eghtedari, Farhad Nejat, Ahang Taghvamanesh
Journal of Medical and Biomedical Discoveries
Evaluation of the Effects of Plasma-Assisted Noninvasive Surgery on the Concentration of Candidate Cytokines in Tear and Serum Samples of Conjunctivochalasis Patients
Farhad Nejat, Khosrow Jadidi, Shima Eghtedari, Hossein Aghamollaei
Journal of Medical and Biomedical Discoveries
Phenol as a Breath Marker for Hemodialysis of Chronic Kidney Disease Patients
Isabell Eickel, Anne-Christine Zygmunt, Frank Streit, Björn Tampe, Nils Kunze-Szikszay, Thorsten Perl
Journal of Medical and Biomedical Discoveries
Erythema Multiforme-Like Lesions: Covid-19? A Case Report
Gerardo Cazzato*, Anna Bosco, Francesca Addante, Colagrande A, Resta L and Lucia Lospalluti
Journal of Medical and Biomedical Discoveries
ALA/PpIX Photodiagnosis of Stress-Induced Gastrointestinal Metastatic Tumours and their Biochemical Indicators in Rats
Ekaterina Borisova*, Matvey Kanevskiy, Svetlana Konnova, Anna Galitskaya, Alexander Khorovodov, Ilana Agranovich, Tsanislava Genova, Ivan Angelov, Vanya Mantareva, Nikita Navolokin, Oxana Semyachkina-Glushkovskaya
Journal of Medical and Biomedical Discoveries
Knowledge Regarding Use of Tobacco and its Ill Effects Among Care Givers
G. Vijayalakshmi*, Priyanka Joseph, Rincy Raju, Rinju Raju
Journal of Medical and Biomedical Discoveries
Management of Idiopathic Nephrotic Syndrome: Co-administration of Cyclosporine and Lyophilized Grapefruit Juice
Farid A. Badria*, Diaaeldin M. Elimam, Ahmed S. Ibrahim, Ahmed F. Hamdy, Amr El-Husseini, Khaled Mahmoud, Rashad Hassan, Ahmed Akl, Tarek Medhat, Ayman Maher, Hussein Sheashaa, Osama Gheith, Amgad Elbaz, Ashraf Fouda, Mohamed A. Sobh
Journal of Medical and Biomedical Discoveries
An Automated Panel for Assessing Pro-Oxidant and Antioxidant Status in Human Serum
Chrystalla Ferrier*, Stephen Reed, Bradley T. Elliott
Journal of Medical and Biomedical Discoveries
An Assessment of the Relationship of Age, Weight, Nutritional Status and Blood Pressure on Peak Expiratory Flow Rate Among Healthy Volunteer Preclinical Medical Students
Sambo N, Amaza D. S, Yusuf A. H, Ojo N. A, Odeh S. O
Journal of Medical and Biomedical Discoveries
Efficiency and Persistence of Isotronic Repellent Devices in Culex pipiens and Aedes aegypti Vectors of Mosquito Borne Diseases
Waseem Ahmad, Abdel Hakeem M. Kelany*, Mohammed H. AlQahtani, Abdul Rauf, Hilal Ahmad, Hani S. H. Mohammed Ali
Journal of Medical and Biomedical Discoveries
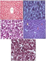
Structural Destabilization in Renal and Hepatic Cells and Tissues Subjected to CuSO4 Toxicity in Male Mice
Madeeha M. Al Sulimani, Abdelhakeem M. Kelany*, Waseem Ahmad, Abdulkader M. Shaikh Omar, Hanan F. ElShazly
Journal of Medical and Biomedical Discoveries